みなさまこんにちは。
DRESSY編集部です。
笑顔の印象を変える口元美容。
後回しになりがちだけど実はとっても重要な花嫁美容の一つなんです!
人生で一度の結婚式だからこそ、韓国アイドルのようなきれいな口元で結婚式当日を迎えたいですよね?
しかしながら、「歯並びやすきっ歯、歯の大きさが気になるけど、矯正は時間がかかるから間に合わない…」「ホワイトニングだけじゃ理想の白さに近づけない…」なんて諦めてしまっている方も多いのではないでしょうか。
そんな花嫁さまのお悩みや願いが、なんと3週間で解決する方法があるんです◎
こちらの記事では、たった3週間で歯並びや歯の形・色を自分好みに修復できると韓国で流行中の「ミニッシュ」をご紹介します。
歯科医院「DENTAL ALIEN」にて体験した編集部のレポやこの記事だけのキャンペーン&特典もご用意しました!プレ花嫁さまはぜひチェックしてみてくださいね。
歯の悩みを抱え後回しにしている花嫁は…約70%!

DRESSYでプレ花嫁さまにアンケート調査を行ったところ、結婚式に向けてオーラル美容が「できている」と回答したのは全体の3割。
反対に「後回しにしている」と回答した人は約7割を占めていました!
結婚式は一生の思い出。たくさんの写真に残るからこそ、歯の色や形にも自信を持って素敵な笑顔で迎えたいですよね。
歯並びが気になるものの、歯科矯正をするとなると最短でも2年はかかるため前撮りや結婚式には間に合わない…と諦めている方も多いのではないでしょうか?
また写真映えするきれいな白い歯を叶えるためにホワイトニングに通うも、ホワイトニングだけで到達する白さには限界があるため、理想の白さまで近づけなかった…なんてことも。
そんなお悩みを抱えている花嫁さまたちにぜひ使っていただきたい、特別キャンペーンをご紹介します!
DRESSY特別特典&キャンペーン
一生に一度の結婚式。
韓国アイドルのような美しい口元で結婚式を迎えるための特別特典&キャンペーンをご用意しました!
お得な特典を利用して、口元まで美しい状態で結婚式を迎えましょう⚐

このページから予約で精密機械検査代(44,000円相当)がなんと無料に!!!

そしてミニッシュ6本以上のご成約で1本分(15万円相当)まで無料に!!!

さらに総額5,000円相当のホームケア商品のプレゼントまで貰えちゃうんです!
編集部が体験!「ミニッシュ」施術の流れ
DAY1.「カウンセリング」
編集部のYumaちゃんが実際に「ミニッシュ」を体験!
ミニッシュは、歯並びや歯の隙間、形、大きさ、歯の色などのお悩みを解消してくれる韓国発の治療法。


今回の取材前に、事前に実際の症例写真を拝見していただけに、どのような仕上がりになるのか期待大です◎
今回はその様子をたっぷりご紹介いたします!

歯科医院「DENTAL ALIEN」は代官山駅から徒歩4分のとってもアクセスしやすいところにありました♡

院内に入ってみるとシルバーとピンクを基調とした空間が広がっています。
取り扱い商品の展示もありました!

いよいよ、カウンセリングスタート!
1.カウンセリング(所要時間45分)


まずはしっかりとカウンセリング。
韓国発、話題の歯のコーティング技術「MINISH(ミニッシュ)」の認定クリニック(MINISH Provider)ということで安心してカウンセリングを受けることができました。
日本では最近上陸したばかりでまだ聞き馴染みのないミニッシュですが、実は2009年からの16年間で、15万件余りの症例データを持っているんだとか。
ミニッシュをした芸能人、企業家、セレブなどは500人余りに上り、最近ではアイドル練習生やN◯ZやTWI◯E、ae◯paなどのアイドルも受けているんだそう!

また、現在都内でミニッシュを受けられるのはDENTAL ALIEN含め2院のみなんだそう。渡韓せずに日本でできるのが嬉しいですよね。
2.精密検査(所要時間30分)

カウンセリングが終わったら精密検査へ。
顔や口腔内写真の撮影、口腔内のスキャン、顎の状態やかみ合わせなどを、最新の機械を使ってチェックしていただきました。
カウンセリング当日はここまでになりますが、その後精密検査のデータを韓国にあるミニッシュ技工研究所へ共有し、治療計画説明の準備をしていただきます。
精密検査のデータやカウンセリングでお伝えした理想のイメージがどのようになるのか次回が楽しみです!
−−−DAY1.「カウンセリング」終了−−−
カウンセリング予約をして受けることができるのはここまで!
実際に来院してみてミニッシュをやってみたい!と思ったら、治療計画説明などのDAY2以降の予約をします◎
DAY2.「治療計画説明」
治療計画説明(所要時間30分)

精密検査後1週間後以降に再来院し、治療計画の説明を受けます。
歯茎の形・歯のデザイン・色など、どのように治療するか今後の流れを詳しく説明いただけたので、安心できました!
DAY3.「形成・型取り」
形成・光学スキャナーによる型取り(所要時間90分)

ミニッシュを装着するにあたって、事前に必要な歯の治療を行いました。
形成では、ミニッシュと天然歯の結合力を高めるため、歯の一番表面にあるエナメルの表面を整えるんだそう。歯の表面を整えるだけなので痛みもほぼなく、麻酔も不要でした。
仮歯が必要な場合は作成し、装着もしてくれるそうです!
歯を削られるのが心配…という方でも、ミニッシュはわずか0.1〜0.2mm程度削るだけなので安心して受けられます◎
型取り後のデータは韓国の技工所へ送られ、世界で1つだけの自分だけのミニッシュが作られます!
1つ1つミニッシュを受ける方にぴったりのものを形成しているので、到着までは1週間ほどかかります。
DAY4.「ミニッシュ装着」
ミニッシュ装着(所要時間60分)

いよいよミニッシュ装着当日!
韓国から届いたミニッシュ本体は、オーダーメイドで精巧に作成されておりコンタクトレンズのようにとっても薄かったです。歯に乗せてもわからないくらい軽く、違和感は全くありません◎
白さや自然さを考慮して、装着前に接着剤の色合わせを行いました。
自分に合う色を選んだら、あっという間に装着完了!
ツヤツヤの韓国アイドルのような歯が手に入り、感動しました◎
DAY5.「フィッティングチェック」
フィッティングチェック(所要時間30分)

装着から約1週間後の段階で、経過観察をしていきます。ミニッシュを装着した日は、接着剤が完全に固まりきっていないため少し慣れない感じがしましたが、2.3日後には違和感はほぼなくなり、1週間経った今ではミニッシュをしたことを忘れてしまうくらい快適です!
もともと自分の歯がこんなに綺麗だったような感覚でいます笑
ミニッシュをすることで歯が保護され、摩耗や衝撃といった外部からの刺激も軽減できるので、歯の老化の進行を遅らせるアンチエイジング効果にも期待できるとのことで、今後も楽しみです!
ミニッシュ装着後は、定期的なクリーニングといつも通りの歯磨きでOKとのこと!
おすすめのオーラルケア商品もご紹介いただけました◎
特典のホームケア用品をいただきました

DRESSY特別特典として、オーラル美容ブランドMiiSのホームケア用品をいただきました!
ホワイトニング歯磨き粉の「ホワイティクリーム」は、泡立たない新感覚の泥感ペーストが、歯の着色汚れを吸着して落としてくれるんだそう。
マスカット味のマウスウォッシュ「ブレスエッセンス」は、低刺激でピリピリしないのが嬉しいポイント◎
見た目も可愛く、毎日のオーラルケアが楽しくなること間違いなしですね。
「ミニッシュ」の魅力や特徴
ミニッシュの仕組みや特徴

ミニッシュは天然歯を最大限に残し、損傷した部分を補う治療のこと。
0.5〜0.7mm削るラミネートベニアと比べて、ミニッシュは0.1〜0.2mm程度なので、歯をほとんど削らずに、負担を減らして美しい歯を目指すことができます。
ご自身の好みに合わせた歯のトーンや形を選ぶことができ、希望内容に沿ったスマイルラインを目指すことが可能です。
また老化や虫歯、歯周病などにより形態的喪失した歯の修復や、すきっ歯や曲がった歯の配列改善、開口や反対咬合などの咬合改善にも期待できます。
値段はどのくらい?
通常価格
精密検査:44,000円(税込)
ミニッシュ150,000円〜(税込)※1本あたり
今回のキャンペーンで無料になります!
こんな方におすすめ

「DENTAL ALIEN」で行う「ミニッシュ」は、歯が揃っていなくガタガタしていたり、歯と歯のすき間が開いていたりする状態の配列改善が可能です。
また開咬、反対咬合などの咬合異常の改善もできます。正規品認証ずみで最大5年間の保証が受けられる「DENTAL ALIEN」なら安心してお願いすることができますね◎
他にも…
すきっ歯・摩耗・曲がった歯・破折・歯周(ブラックトライアングル)・腐食・八重歯・咬合挙上などのお悩みにも対応!
幅広い歯のお悩みを解決してくれます。
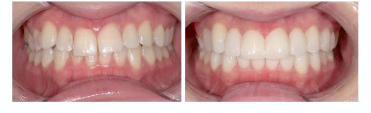
施術例
実際の施術例を少しご紹介!
こんなお悩みも短期間でここまで綺麗に◎
摩耗
すり減ってしまった小さい歯や、ホワイトニングで納得いかなかった色も、理想の形や色に仕上げることが可能です。↓

開咬
ガタガタの歯並びや気になる黄ばみもミニッシュで整えることができます。↓
通常歯並びなどのお悩みを解決する際に選ばれる歯列矯正は2年ほどかかるのに対して、ミニッシュは約2~3週間で治療が完了するのが最大のメリット!
また昔からあるラミネートベニアは歯を0.7mm削る必要がありますが、ミニッシュは歯の表面を整えるだけなのでほとんど削ることなく実施できるのも嬉しいですよね。
結婚式の前撮り前や結婚式前のかけこみ美容としての需要も高まっていて人気の花嫁美容なんです。
【よくある質問】スタッフさんに聞いてみた!

よくある質問をスタッフさんに聞いてみました!
痛くないですか?
形成といってミニッシュ装着にあたり歯の表面を少しだけ削る段階で、まれにお痛みを感じる方もいらっしゃいますが、ほとんどの方は麻酔を使う必要のないほどお痛みはございません。
お痛みが心配な方は麻酔をしながらの治療も可能ですし、仮歯の装着や痛み止め、知覚過敏抑制剤の処方によって最小限に抑えることが可能です。
時間はどのくらいかかりますか?
カウンセリング〜治療完了まで最短4〜5回のご来院・通常3週間以内に終わる方がほとんどです。
1回あたりの所要時間も最大で90分間ほどです。
妊娠中でもミニッシュはできますか?
可能です。
「ミニッシュ」を体験した感想

今回体験してみて、より美意識が高くなったのを感じました!
一緒に歯の悩みを解決してくれるだけでなく、花嫁美容にわくわくできる空間でした♡
院内には、特典でもらった商品以外にもオーラル美容ブランドMiiSの商品が揃っていました!SNSで話題のおうちでホワイトニングケアができるホワイトニングジェル「ホワイティエッセンス」や、JAEJOONG(ジェジュン)さん出演のCMでお馴染みの口臭タブレット「mm flora*」などがあり、見た目も可愛く毎日のオーラルケアが楽しくなりそうなアイテムは色々試してみたくなりました!

施術内容も、今回のミニッシュ以外に、マウスピース矯正やホワイトニング、セラミック治療や話題のティースジュエリーも扱っているんだそう。
花嫁様の悩みにあった施術に幅広く対応しているので安心してお任せできそうです!
「DENTAL ALIEN」店舗情報

東京都渋谷区代官山町14-17 ACN代官山スクエア B1F
【アクセス】
代官山駅から徒歩4分
【定休日】
水曜日
【営業時間】
営業時間:10:00〜19:00
DENTAL ALIEN 公式HP
DRESSY特別特典&キャンペーンをおさらい
今回のキャンペーンでもらえる特典はこれ!
せっかくならお得な特典をGETして素敵な歯で結婚式を迎えましょう⚐

このページから予約で精密機械検査代(44,000円相当)がなんと無料に!!!

そしてミニッシュ6本以上のご成約で1本分(15万円相当)まで無料に!!!

さらに総額5,000円相当のホームケア商品のプレゼントまで貰えちゃうんです!